Concept

Implantaat-gedragen definitieve vaste brug tijdens of kort na chirurgische reconstructie van de onderkaak
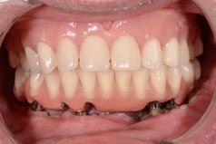
Het “O-bridge” protocol is gebaseerd op de combinatie van een optimale positionering van de implantaten tijdens of kort na chirurgische onderkaakreconstructie, met een definitieve tandvervanging in de vorm van een vaste brug, die binnen de twee weken na plaatsing van de implantaten kan gerealiseerd worden.
De aanwezigheid van een vaste prothese kan de normale voedselinname versnellen bij patiënten die vaak progressief gewichtsverlies hebben geleden ten gevolge van pijnklachten of een zware radiochemotherapeutische behandeling. Daarenboven zorgt een dergelijke prothese voor een snel esthetisch herstel, en een verbeterde spraak waardoor mensen opnieuw interpersoonlijke contacten durven aangaan, en hun maatschappelijke en sociale reïntegratie bevorderd wordt. Bovendien zorgt de verminderde stoeltijd en het verkorte fabricatieproces in het tandlabo voor een sterke verlaging van de kostprijs.